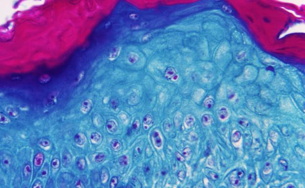
La OMS eleva a 780 los casos globales de viruela del mono, 156 en España
Efe | Ginebra
El 88% de los casos diagnosticados vinculados al actual brote en países no endémicos se dan en Europa
Secciones
Servicios
Destacamos
Efe | Ginebra
El 88% de los casos diagnosticados vinculados al actual brote en países no endémicos se dan en Europa
03 jun 2022 20:52
Carmen Delia Aranda | Las Palmas de Gran Canaria
03 jun 2022 16:05
02 jun 2022 19:40
01 jun 2022 17:26
01 jun 2022 15:51
01 jun 2022 03:00
CANARIAS7 | Las Palmas de Gran Canaria
31 may 2022 14:30
30 may 2022 19:41
30 may 2022 11:31
29 may 2022 03:00
Luisa del Rosario | Las Palmas de Gran Canaria
27 may 2022 17:46
Canarias7 | Las Palmas de Gran Canaria
27 may 2022 13:59
27 may 2022 12:39
27 may 2022 07:57
Publicidad
Publicidad
Noticia Patrocinada