Borrar

La película del inicio de la vida

Lunes, 19 de noviembre 2012, 10:12

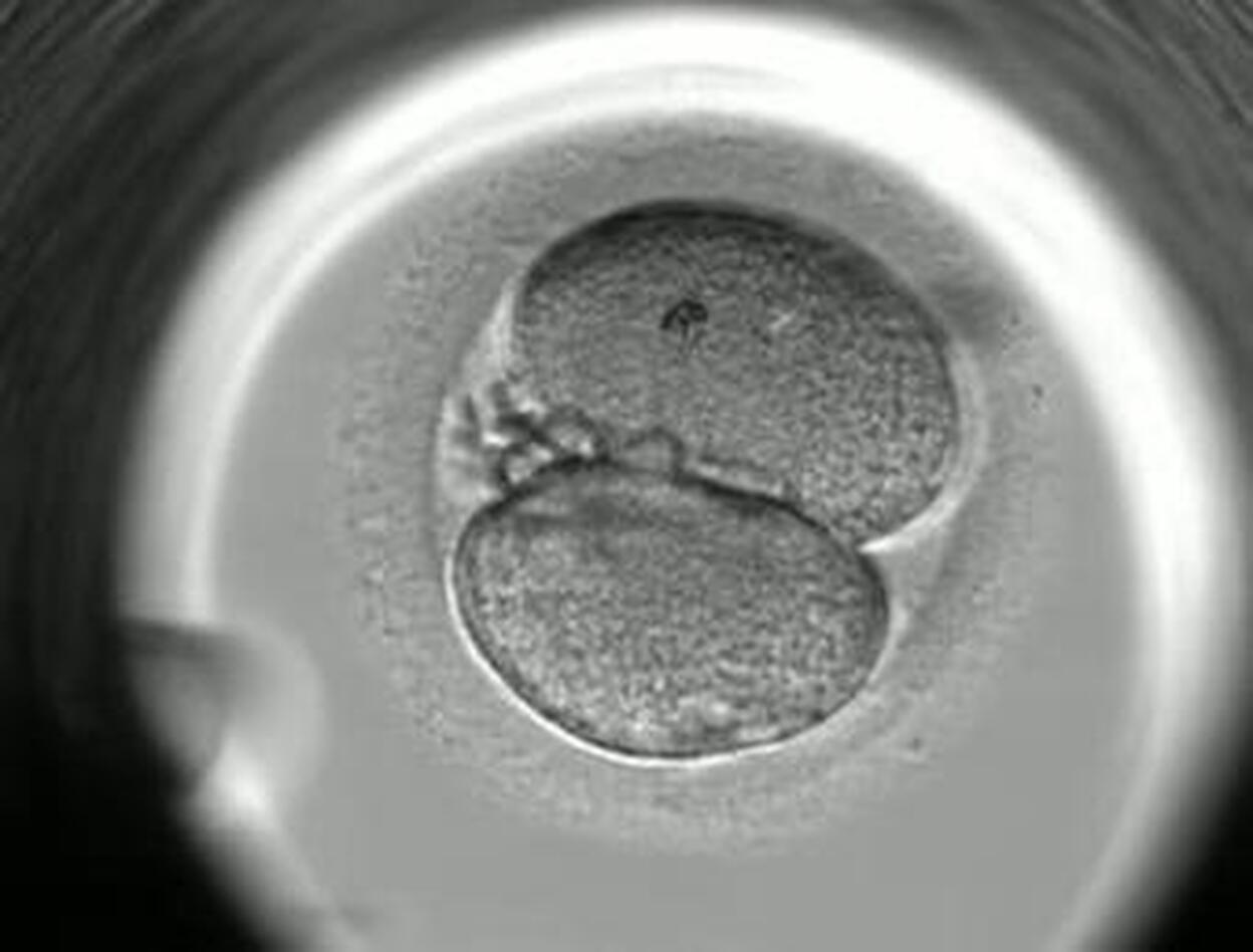
El Embryoscope es una innovadora tecnología que está revolucionando la medicina embrionaria. Se trata de un avanzado incubador que permite observar al embrión minuto a minuto desde el momento de la fecundación In Vitro hasta el de la transferencia al útero. Tiene una peculiaridad especial: incorpora una cámara que continuamente captura imágenes del desarrollo embrionario y se comprimen en una película de unos 30 segundos. En este vídeo, cedido por IVI Las Palmas, se observa la evolución del desarrollo del embrión en sus primeros cinco días de vida.

Sigues a . Gestiona tus autores en Mis intereses.

Contenido guardado. Encuéntralo en tu área personal.

Reporta un error en esta noticia

* Campos obligatorios

canarias7 La película del inicio de la vida