Borrar

Describen un aumento del estrés oxidativo en las enfermedades metabólicas hereditarias

Europa Press

Lunes, 30 de mayo 2016, 01:00

El grupo de investigación dirigido por la doctora Lourdes Ruiz y la doctora Belén Pérez, del Centro de Biología Molecular Severo Ocho (CBMSO), perteneciente también al CEDEM (Centro de Diagnóstico de Enfermedades Moleculares), al CIBERER (Centro de Investigación Biomédica en Red Enfermedades Raras) y al IdiPAZ (Instituto de Investigación Sanitaria del Hospital Universitario La Paz), han publicado varios trabajos describiendo un aumento de los niveles intracelulares de especies reactivas de oxígeno (ROS) en pacientes con academia propiónica, acidemia metilmalónica y homocistinuria

El estrés oxidativo ocurre cuando hay un desequilibrio en las células debido a un aumento en los radicales libres, o bien una disminución en las defensas antioxidantes implicadas en el estrés oxidativo.

Este mismo grupo de investigación también ha observado que estos pacientes presentan un aumento en los niveles de apoptosis o muerte celular programada y de enzimas antioxidantes y quinasas de estrés en las células de la piel (fibroblastos).

En el caso de la enfermedad de homocistinuria, el metabolito tóxico que se acumula es la homocisteína, aminoácido azufrado muy reactivo que se sintetiza a partir de la metionina y se metaboliza a través de la remetilación y la transulfuración.

Los pacientes con homocistinuria tienen afectados, principalmente, el sistema nervioso y el hematológico, mientras que el aumento de homocisteína se ha relacionado, además, con distintas enfermedades como las cardiovasculares, las neurodegenerativas o los defectos del tubo neural.

El objetivo principal del trabajo, publicado en la revista 'PLoS ONE', realizado por Ainhoa Martínez y dirigido por la doctora Eva Richard, pertenecientes al grupo de investigación anterior, era avanzar en el conocimiento de los mecanismos celulares implicados en la enfermedad, analizando parámetros relacionados con el estrés oxidativo.

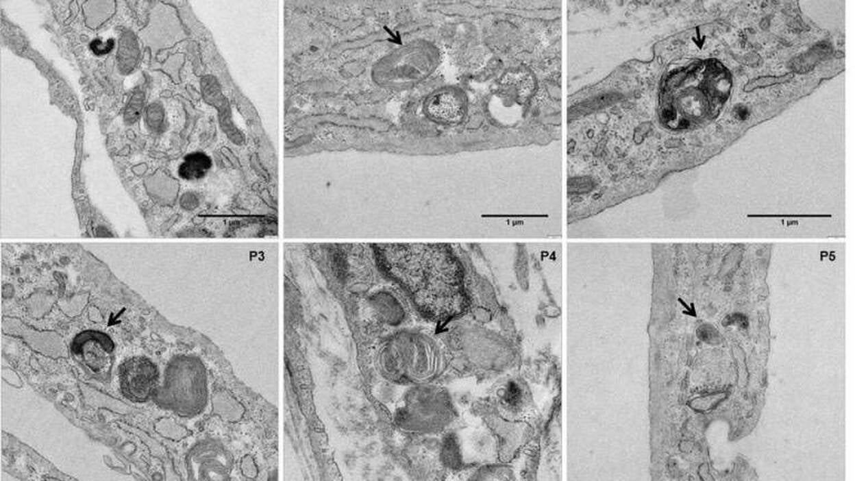
También han observado un aumento en los niveles de varias proteínas de membrana del retículo endoplasmático asociadas a la mitocondria, y una activación del proceso de autofagia, en particular, del proceso de degradación de mitocondrias disfuncionales mediante mitofagia.

"La importancia del estudio radica en la posible utilización de antioxidantes que puedan disminuir el daño celular de estos pacientes", explican las investigadoras; "y, además, proporciona nuevas aproximaciones terapéuticas que implican la estabilización de la homeostasis del calcio y la restauración de las comunicaciones apropiadas entre el RE y la mitocondria", han concluido.

Las enfermedades metabólicas hereditarias (EMH) son enfermedades raras que afectan al metabolismo del paciente de forma continuada a lo largo de la vida.

Algunas de ellas implican al metabolismo intermediario y afecta a la reacción del catabolismo encargada de transformar biomoléculas complejas en moléculas sencillas.

En algunas EMH se produce una acumulación de metabolitos tóxicos que inhiben determinadas enzimas y complejos involucrados en el metabolismo celular, generando numerosos defectos y anormalidades en la estructura y función mitocondrial.

Estas características se han descrito en biopsias de pacientes con distintas EMH como son la acidemia propiónica, la acidemia metilmalónica y el jarabe de arce; lo que sugiere disfunción mitocondrial secundaria y estrés oxidativo en la fisiopatología de estas enfermedades.

Sigues a Europa Press. Gestiona tus autores en Mis intereses.

Contenido guardado. Encuéntralo en tu área personal.

Reporta un error en esta noticia

* Campos obligatorios

canarias7 Describen un aumento del estrés oxidativo en las enfermedades metabólicas hereditarias

Describen un aumento del estrés oxidativo en las enfermedades metabólicas hereditarias